Skip to main content

Chest

Any cause of hypercalcemia, most commonly primary or secondary hyperparathyroidism , can cause metastatic calcifications and abnormal pulmonary uptake. Metastatic osteosarcoma, neuroblastoma , radiation pneumonitis, and rarely bronchogenic carcinoma may demonstrate increased uptake of bone tracers. Accumulation of Tc-99m diphosphonate is also seen in pleural effusions, usually malignant.

CHEST UPTAKE


Lung uptake in hyperparathyroidismPrimary hyperparathyroidism

The scintigrams (posterior (A) and anterior (B) projections) shows diffuse increased radionuclide uptake in the lungs and stomach, that represents metastatic calcifications, in a patient with parathyroid adenoma.


Metastatic OsteosarcomaOsteosarcoma with pulmonary metastases

This bone scintigram in posterior projection demonstrates foci of abnormally increased radiotracer activity in the left hemithorax, in a patient with known osteosarcoma.


Neuroblastoma (Ant Chest)Neuroblastoma

This scintigram shows intense uptake in the mediastinum. Thirty-five to 74% of primary neuroblastomas accumulate bone agents, presumably secondary to dystrophic calcifications in the tumor.


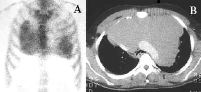
Malignant Pleural EffusionMalignant pleural effusion

The bone scintigram (A) shows diffuse accumulation of the radiotracer in a malignant pleural effusion within the right hemithorax of this patient with lung carcinoma. A CT scan (B) confirms the presence of a right-sided pleural effusion.


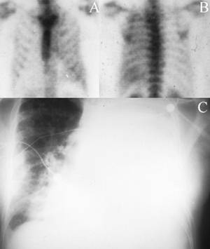
Pleural EffusionMalignant pleural effusion

Anterior (A) and posterior (B) bone scintigrams show generalized increased radionuclide accumulation in the left hemithorax in this patient with lung carcinoma. A chest X-ray (C) confirms the presence of a left-sided pleural effusion.


SeminomaSeminoma 

(A) The bone scintigram in anterior projection demonstrates abnormally increased radionuclide activity in the mediastinum. There is a bulky soft tissue mass occupying the mediastinum on this axial CT (B) of the chest, that displaces the thoracic aorta posteriorly. The mediatinal mass is biopsy-proven seminoma.


Urine ContaminationUrine Contamination

(A) Initial bone scintigram in anterior projection shows several ill-defined areas of radiotracer accumulation that subsequently disappears on repeat scan (B) following decontamination.


Warning: MySQL server has gone away query: INSERT INTO watchdog (uid, type, message, variables, severity, link, location, referer, hostname, timestamp) VALUES (0, 'php', '%message in %file on line %line.', 'a:4:{s:6:\"%error\";s:12:\"user warning\";s:8:\"%message\";s:132:\"MySQL server has gone away\nquery: UPDATE variable SET value = 's:1:\\"0\\";' WHERE name = 'site_offline'\";s:5:\"%file\";s:64:\"/home/agentili/public_html/radiologyindex/includes/bootstrap.inc\";s:5:\"%line\";i:612;}', 3, '', 'http://www.skeletalscintigraphy.com/content/chest', '', '151.80.31.154', 1449885364) in /home/agentili/public_html/radiologyindex/includes/database.mysqli.inc on line 134

Warning: MySQL server has gone away query: INSERT INTO watchdog (uid, type, message, variables, severity, link, location, referer, hostname, timestamp) VALUES (0, 'php', '%message in %file on line %line.', 'a:4:{s:6:\"%error\";s:12:\"user warning\";s:8:\"%message\";s:85:\"MySQL server has gone away\nquery: DELETE FROM cache WHERE cid = 'variables'\";s:5:\"%file\";s:60:\"/home/agentili/public_html/radiologyindex/includes/cache.inc\";s:5:\"%line\";i:182;}', 3, '', 'http://www.skeletalscintigraphy.com/content/chest', '', '151.80.31.154', 1449885364) in /home/agentili/public_html/radiologyindex/includes/database.mysqli.inc on line 134

Warning: MySQL server has gone away query: INSERT INTO watchdog (uid, type, message, variables, severity, link, location, referer, hostname, timestamp) VALUES (0, 'php', '%message in %file on line %line.', 'a:4:{s:6:\"%error\";s:12:\"user warning\";s:8:\"%message\";s:129:\"MySQL server has gone away\nquery: UPDATE variable SET value = 'b:1;' WHERE name = 'drupal_http_request_fails'\";s:5:\"%file\";s:64:\"/home/agentili/public_html/radiologyindex/includes/bootstrap.inc\";s:5:\"%line\";i:612;}', 3, '', 'http://www.skeletalscintigraphy.com/content/chest', '', '151.80.31.154', 1449885429) in /home/agentili/public_html/radiologyindex/includes/database.mysqli.inc on line 134

Warning: MySQL server has gone away query: INSERT INTO watchdog (uid, type, message, variables, severity, link, location, referer, hostname, timestamp) VALUES (0, 'php', '%message in %file on line %line.', 'a:4:{s:6:\"%error\";s:12:\"user warning\";s:8:\"%message\";s:85:\"MySQL server has gone away\nquery: DELETE FROM cache WHERE cid = 'variables'\";s:5:\"%file\";s:60:\"/home/agentili/public_html/radiologyindex/includes/cache.inc\";s:5:\"%line\";i:182;}', 3, '', 'http://www.skeletalscintigraphy.com/content/chest', '', '151.80.31.154', 1449885429) in /home/agentili/public_html/radiologyindex/includes/database.mysqli.inc on line 134

Warning: MySQL server has gone away query: INSERT INTO watchdog (uid, type, message, variables, severity, link, location, referer, hostname, timestamp) VALUES (0, 'php', '%message in %file on line %line.', 'a:4:{s:6:\"%error\";s:12:\"user warning\";s:8:\"%message\";s:776:\"MySQL server has gone away\nquery: INSERT INTO watchdog\n (uid, type, message, variables, severity, link, location, referer, hostname, timestamp)\n VALUES\n (0, 'backup_migrate', '%source backed up successfully to %file in destination %dest in !time ms. !action', 'a:5:{s:5:\\"%file\\";s:44:\\"SkeletalScintigraphy.com-2015-12-11T18-55-42\\";s:5:\\"%dest\\";s:27:\\"Scheduled Backups Directory\\";s:7:\\"%source\\";s:16:\\"Default Database\\";s:5:\\"!time\\";d:86915.770000000004074536263942718505859375;s:7 in /home/agentili/public_html/radiologyindex/includes/database.mysqli.inc on line 134

Warning: MySQL server has gone away query: INSERT INTO watchdog (uid, type, message, variables, severity, link, location, referer, hostname, timestamp) VALUES (0, 'php', '%message in %file on line %line.', 'a:4:{s:6:\"%error\";s:12:\"user warning\";s:8:\"%message\";s:94:\"MySQL server has gone away\nquery: DELETE FROM captcha_sessions WHERE timestamp < 1449799029\";s:5:\"%file\";s:82:\"/home/agentili/public_html/radiologyindex/sites/all/modules/captcha/captcha.module\";s:5:\"%line\";i:141;}', 3, '', 'http://www.skeletalscintigraphy.com/content/chest', '', '151.80.31.154', 1449885429) in /home/agentili/public_html/radiologyindex/includes/database.mysqli.inc on line 134

Warning: MySQL server has gone away query: INSERT INTO watchdog (uid, type, message, variables, severity, link, location, referer, hostname, timestamp) VALUES (0, 'php', '%message in %file on line %line.', 'a:4:{s:6:\"%error\";s:12:\"user warning\";s:8:\"%message\";s:149:\"MySQL server has gone away\nquery: SELECT data, created, headers, expire, serialized FROM cache WHERE cid = 'date_timezone_identifiers_list'\";s:5:\"%file\";s:60:\"/home/agentili/public_html/radiologyindex/includes/cache.inc\";s:5:\"%line\";i:27;}', 3, '', 'http://www.skeletalscintigraphy.com/content/chest', '', '151.80.31.154', 1449885429) in /home/agentili/public_html/radiologyindex/includes/database.mysqli.inc on line 134

Warning: MySQL server has gone away query: INSERT INTO watchdog (uid, type, message, variables, severity, link, location, referer, hostname, timestamp) VALUES (0, 'php', '%message in %file on line %line.', 'a:4:{s:6:\"%error\";s:12:\"user warning\";s:8:\"%message\";s:32471:\"MySQL server has gone away\nquery: UPDATE cache SET data = 'a:455:{s:14:\\"Africa/Abidjan\\";s:14:\\"Africa/Abidjan\\";s:12:\\"Africa/Accra\\";s:12:\\"Africa/Accra\\";s:18:\\"Africa/Addis_Ababa\\";s:18:\\"Africa/Addis_Ababa\\";s:14:\\"Africa/Algiers\\";s:14:\\"Africa/Algiers\\";s:13:\\"Africa/Asmara\\";s:13:\\"Africa/Asmara\\";s:13:\\"Africa/Asmera\\";s:13:\\"Africa/Asmera\\";s:13:\\"Africa/Bamako\\";s:13:\\"Africa/Bamako\\&q in /home/agentili/public_html/radiologyindex/includes/database.mysqli.inc on line 134

Warning: MySQL server has gone away query: INSERT INTO watchdog (uid, type, message, variables, severity, link, location, referer, hostname, timestamp) VALUES (0, 'php', '%message in %file on line %line.', 'a:4:{s:6:\"%error\";s:12:\"user warning\";s:8:\"%message\";s:130:\"MySQL server has gone away\nquery: UPDATE variable SET value = 'i:-28800;' WHERE name = 'date_default_timezone'\";s:5:\"%file\";s:64:\"/home/agentili/public_html/radiologyindex/includes/bootstrap.inc\";s:5:\"%line\";i:612;}', 3, '', 'http://www.skeletalscintigraphy.com/content/chest', '', '151.80.31.154', 1449885429) in /home/agentili/public_html/radiologyindex/includes/database.mysqli.inc on line 134

Warning: MySQL server has gone away query: INSERT INTO watchdog (uid, type, message, variables, severity, link, location, referer, hostname, timestamp) VALUES (0, 'php', '%message in %file on line %line.', 'a:4:{s:6:\"%error\";s:12:\"user warning\";s:8:\"%message\";s:85:\"MySQL server has gone away\nquery: DELETE FROM cache WHERE cid = 'variables'\";s:5:\"%file\";s:60:\"/home/agentili/public_html/radiologyindex/includes/cache.inc\";s:5:\"%line\";i:182;}', 3, '', 'http://www.skeletalscintigraphy.com/content/chest', '', '151.80.31.154', 1449885429) in /home/agentili/public_html/radiologyindex/includes/database.mysqli.inc on line 134

Warning: MySQL server has gone away query: INSERT INTO watchdog (uid, type, message, variables, severity, link, location, referer, hostname, timestamp) VALUES (0, 'php', '%message in %file on line %line.', 'a:4:{s:6:\"%error\";s:12:\"user warning\";s:8:\"%message\";s:137:\"MySQL server has gone away\nquery: UPDATE variable SET value = 'b:0;' WHERE name = 'htmlpurifier_version_check_failed'\";s:5:\"%file\";s:64:\"/home/agentili/public_html/radiologyindex/includes/bootstrap.inc\";s:5:\"%line\";i:612;}', 3, '', 'http://www.skeletalscintigraphy.com/content/chest', '', '151.80.31.154', 1449885429) in /home/agentili/public_html/radiologyindex/includes/database.mysqli.inc on line 134

Warning: MySQL server has gone away query: INSERT INTO watchdog (uid, type, message, variables, severity, link, location, referer, hostname, timestamp) VALUES (0, 'php', '%message in %file on line %line.', 'a:4:{s:6:\"%error\";s:12:\"user warning\";s:8:\"%message\";s:85:\"MySQL server has gone away\nquery: DELETE FROM cache WHERE cid = 'variables'\";s:5:\"%file\";s:60:\"/home/agentili/public_html/radiologyindex/includes/cache.inc\";s:5:\"%line\";i:182;}', 3, '', 'http://www.skeletalscintigraphy.com/content/chest', '', '151.80.31.154', 1449885429) in /home/agentili/public_html/radiologyindex/includes/database.mysqli.inc on line 134

Warning: MySQL server has gone away query: INSERT INTO watchdog (uid, type, message, variables, severity, link, location, referer, hostname, timestamp) VALUES (0, 'php', '%message in %file on line %line.', 'a:4:{s:6:\"%error\";s:12:\"user warning\";s:8:\"%message\";s:152:\"MySQL server has gone away\nquery: UPDATE variable SET value = 's:5:\\"4.6.0\\";' WHERE name = 'htmlpurifier_version_current'\";s:5:\"%file\";s:64:\"/home/agentili/public_html/radiologyindex/includes/bootstrap.inc\";s:5:\"%line\";i:612;}', 3, '', 'http://www.skeletalscintigraphy.com/content/chest', '', '151.80.31.154', 1449885429) in /home/agentili/public_html/radiologyindex/includes/database.mysqli.inc on line 134

Warning: MySQL server has gone away query: INSERT INTO watchdog (uid, type, message, variables, severity, link, location, referer, hostname, timestamp) VALUES (0, 'php', '%message in %file on line %line.', 'a:4:{s:6:\"%error\";s:12:\"user warning\";s:8:\"%message\";s:85:\"MySQL server has gone away\nquery: DELETE FROM cache WHERE cid = 'variables'\";s:5:\"%file\";s:60:\"/home/agentili/public_html/radiologyindex/includes/cache.inc\";s:5:\"%line\";i:182;}', 3, '', 'http://www.skeletalscintigraphy.com/content/chest', '', '151.80.31.154', 1449885429) in /home/agentili/public_html/radiologyindex/includes/database.mysqli.inc on line 134

Warning: MySQL server has gone away query: INSERT INTO watchdog (uid, type, message, variables, severity, link, location, referer, hostname, timestamp) VALUES (0, 'php', '%message in %file on line %line.', 'a:4:{s:6:\"%error\";s:12:\"user warning\";s:8:\"%message\";s:177:\"MySQL server has gone away\nquery: DELETE FROM linkchecker_nodes WHERE nid IN (SELECT nid FROM node n WHERE n.type NOT IN ('biblio','page','story'))\";s:5:\"%file\";s:90:\"/home/agentili/public_html/radiologyindex/sites/all/modules/linkchecker/linkchecker.module\";s:5:\"%line\";i:1114;}', 3, '', 'http://www.skeletalscintigraphy.com/content/chest', '', '151.80.31.154', 1449885429) in /home/agentili/public_html/radiologyindex/includes/database.mysqli.inc on line 134

Warning: MySQL server has gone away query: INSERT INTO watchdog (uid, type, message, variables, severity, link, location, referer, hostname, timestamp) VALUES (0, 'php', '%message in %file on line %line.', 'a:4:{s:6:\"%error\";s:12:\"user warning\";s:8:\"%message\";s:69:\"MySQL server has gone away\nquery: TRUNCATE TABLE linkchecker_comments\";s:5:\"%file\";s:90:\"/home/agentili/public_html/radiologyindex/sites/all/modules/linkchecker/linkchecker.module\";s:5:\"%line\";i:1126;}', 3, '', 'http://www.skeletalscintigraphy.com/content/chest', '', '151.80.31.154', 1449885429) in /home/agentili/public_html/radiologyindex/includes/database.mysqli.inc on line 134

Warning: MySQL server has gone away query: INSERT INTO watchdog (uid, type, message, variables, severity, link, location, referer, hostname, timestamp) VALUES (0, 'php', '%message in %file on line %line.', 'a:4:{s:6:\"%error\";s:12:\"user warning\";s:8:\"%message\";s:322:\"MySQL server has gone away\nquery: DELETE FROM linkchecker_links\n WHERE lid NOT IN (\n SELECT DISTINCT lid FROM linkchecker_boxes\n UNION\n SELECT DISTINCT lid FROM linkchecker_comments\n UNION\n SELECT DISTINCT lid FROM linkchecker_nodes\n )\";s:5:\"%file\";s:90:\"/home/agentili/public_html/radiologyindex/sites/all/modules/linkchecker/linkchecker.module\";s:5:\"%line\";i:1142;}', 3, '', 'http://www.skeletalscintigraphy.com/content/chest', '', '151.80.31.154', 1449885429) in /home/agentili/public_html/radiologyindex/includes/database.mysqli.inc on line 134

Warning: MySQL server has gone away query: INSERT INTO watchdog (uid, type, message, variables, severity, link, location, referer, hostname, timestamp) VALUES (0, 'php', '%message in %file on line %line.', 'a:4:{s:6:\"%error\";s:12:\"user warning\";s:8:\"%message\";s:143:\"MySQL server has gone away\nquery: UPDATE variable SET value = 'i:1449885429;' WHERE name = 'linkchecker_cleanup_links_last'\";s:5:\"%file\";s:64:\"/home/agentili/public_html/radiologyindex/includes/bootstrap.inc\";s:5:\"%line\";i:612;}', 3, '', 'http://www.skeletalscintigraphy.com/content/chest', '', '151.80.31.154', 1449885429) in /home/agentili/public_html/radiologyindex/includes/database.mysqli.inc on line 134

Warning: MySQL server has gone away query: INSERT INTO watchdog (uid, type, message, variables, severity, link, location, referer, hostname, timestamp) VALUES (0, 'php', '%message in %file on line %line.', 'a:4:{s:6:\"%error\";s:12:\"user warning\";s:8:\"%message\";s:85:\"MySQL server has gone away\nquery: DELETE FROM cache WHERE cid = 'variables'\";s:5:\"%file\";s:60:\"/home/agentili/public_html/radiologyindex/includes/cache.inc\";s:5:\"%line\";i:182;}', 3, '', 'http://www.skeletalscintigraphy.com/content/chest', '', '151.80.31.154', 1449885429) in /home/agentili/public_html/radiologyindex/includes/database.mysqli.inc on line 134

Warning: MySQL server has gone away query: INSERT INTO watchdog (uid, type, message, variables, severity, link, location, referer, hostname, timestamp) VALUES (0, 'php', '%message in %file on line %line.', 'a:4:{s:6:\"%error\";s:12:\"user warning\";s:8:\"%message\";s:160:\"MySQL server has gone away\nquery: SELECT * FROM linkchecker_links WHERE last_checked < 1447466229 AND status = 1 ORDER BY last_checked, lid ASC LIMIT 0, 1200\";s:5:\"%file\";s:90:\"/home/agentili/public_html/radiologyindex/sites/all/modules/linkchecker/linkchecker.module\";s:5:\"%line\";i:354;}', 3, '', 'http://www.skeletalscintigraphy.com/content/chest', '', '151.80.31.154', 1449885429) in /home/agentili/public_html/radiologyindex/includes/database.mysqli.inc on line 134

Warning: MySQL server has gone away query: INSERT INTO watchdog (uid, type, message, variables, severity, link, location, referer, hostname, timestamp) VALUES (0, 'php', '%message in %file on line %line.', 'a:4:{s:6:\"%error\";s:12:\"user warning\";s:8:\"%message\";s:181:\"MySQL server has gone away\nquery: SELECT s.nid AS nid FROM scheduler s LEFT JOIN node n ON s.nid = n.nid WHERE n.status = 0 AND s.publish_on > 0 AND s.publish_on < 1449885429 \";s:5:\"%file\";s:86:\"/home/agentili/public_html/radiologyindex/sites/all/modules/scheduler/scheduler.module\";s:5:\"%line\";i:692;}', 3, '', 'http://www.skeletalscintigraphy.com/content/chest', '', '151.80.31.154', 1449885429) in /home/agentili/public_html/radiologyindex/includes/database.mysqli.inc on line 134

Warning: MySQL server has gone away query: INSERT INTO watchdog (uid, type, message, variables, severity, link, location, referer, hostname, timestamp) VALUES (0, 'php', '%message in %file on line %line.', 'a:4:{s:6:\"%error\";s:12:\"user warning\";s:8:\"%message\";s:167:\"MySQL server has gone away\nquery: SELECT s.nid AS nid FROM scheduler s LEFT JOIN node n ON s.nid = n.nid WHERE s.unpublish_on > 0 AND s.unpublish_on < 1449885429\";s:5:\"%file\";s:86:\"/home/agentili/public_html/radiologyindex/sites/all/modules/scheduler/scheduler.module\";s:5:\"%line\";i:750;}', 3, '', 'http://www.skeletalscintigraphy.com/content/chest', '', '151.80.31.154', 1449885429) in /home/agentili/public_html/radiologyindex/includes/database.mysqli.inc on line 134

Warning: MySQL server has gone away query: INSERT INTO watchdog (uid, type, message, variables, severity, link, location, referer, hostname, timestamp) VALUES (0, 'php', '%message in %file on line %line.', 'a:4:{s:6:\"%error\";s:12:\"user warning\";s:8:\"%message\";s:81:\"MySQL server has gone away\nquery: SELECT cid FROM biblio_contributor GROUP BY cid\";s:5:\"%file\";s:90:\"/home/agentili/public_html/radiologyindex/sites/all/modules/biblio/biblio.contributors.inc\";s:5:\"%line\";i:148;}', 3, '', 'http://www.skeletalscintigraphy.com/content/chest', '', '151.80.31.154', 1449885429) in /home/agentili/public_html/radiologyindex/includes/database.mysqli.inc on line 134

Warning: MySQL server has gone away query: INSERT INTO watchdog (uid, type, message, variables, severity, link, location, referer, hostname, timestamp) VALUES (0, 'php', '%message in %file on line %line.', 'a:4:{s:6:\"%error\";s:12:\"user warning\";s:8:\"%message\";s:86:\"MySQL server has gone away\nquery: SELECT cid FROM biblio_contributor_data GROUP BY cid\";s:5:\"%file\";s:90:\"/home/agentili/public_html/radiologyindex/sites/all/modules/biblio/biblio.contributors.inc\";s:5:\"%line\";i:153;}', 3, '', 'http://www.skeletalscintigraphy.com/content/chest', '', '151.80.31.154', 1449885429) in /home/agentili/public_html/radiologyindex/includes/database.mysqli.inc on line 134

Warning: MySQL server has gone away query: INSERT INTO watchdog (uid, type, message, variables, severity, link, location, referer, hostname, timestamp) VALUES (0, 'php', '%message in %file on line %line.', 'a:4:{s:6:\"%error\";s:12:\"user warning\";s:8:\"%message\";s:77:\"MySQL server has gone away\nquery: SELECT kid FROM biblio_keyword GROUP BY kid\";s:5:\"%file\";s:86:\"/home/agentili/public_html/radiologyindex/sites/all/modules/biblio/biblio.keywords.inc\";s:5:\"%line\";i:78;}', 3, '', 'http://www.skeletalscintigraphy.com/content/chest', '', '151.80.31.154', 1449885429) in /home/agentili/public_html/radiologyindex/includes/database.mysqli.inc on line 134

Warning: MySQL server has gone away query: INSERT INTO watchdog (uid, type, message, variables, severity, link, location, referer, hostname, timestamp) VALUES (0, 'php', '%message in %file on line %line.', 'a:4:{s:6:\"%error\";s:12:\"user warning\";s:8:\"%message\";s:82:\"MySQL server has gone away\nquery: SELECT kid FROM biblio_keyword_data GROUP BY kid\";s:5:\"%file\";s:86:\"/home/agentili/public_html/radiologyindex/sites/all/modules/biblio/biblio.keywords.inc\";s:5:\"%line\";i:83;}', 3, '', 'http://www.skeletalscintigraphy.com/content/chest', '', '151.80.31.154', 1449885429) in /home/agentili/public_html/radiologyindex/includes/database.mysqli.inc on line 134

Warning: MySQL server has gone away query: INSERT INTO watchdog (uid, type, message, variables, severity, link, location, referer, hostname, timestamp) VALUES (0, 'php', '%message in %file on line %line.', 'a:4:{s:6:\"%error\";s:12:\"user warning\";s:8:\"%message\";s:147:\"MySQL server has gone away\nquery: UPDATE variable SET value = 'i:1449971829;' WHERE name = 'biblio_orphan_clean_next_execution'\";s:5:\"%file\";s:64:\"/home/agentili/public_html/radiologyindex/includes/bootstrap.inc\";s:5:\"%line\";i:612;}', 3, '', 'http://www.skeletalscintigraphy.com/content/chest', '', '151.80.31.154', 1449885429) in /home/agentili/public_html/radiologyindex/includes/database.mysqli.inc on line 134

Warning: MySQL server has gone away query: INSERT INTO watchdog (uid, type, message, variables, severity, link, location, referer, hostname, timestamp) VALUES (0, 'php', '%message in %file on line %line.', 'a:4:{s:6:\"%error\";s:12:\"user warning\";s:8:\"%message\";s:85:\"MySQL server has gone away\nquery: DELETE FROM cache WHERE cid = 'variables'\";s:5:\"%file\";s:60:\"/home/agentili/public_html/radiologyindex/includes/cache.inc\";s:5:\"%line\";i:182;}', 3, '', 'http://www.skeletalscintigraphy.com/content/chest', '', '151.80.31.154', 1449885429) in /home/agentili/public_html/radiologyindex/includes/database.mysqli.inc on line 134

Warning: MySQL server has gone away query: INSERT INTO watchdog (uid, type, message, variables, severity, link, location, referer, hostname, timestamp) VALUES (0, 'php', '%message in %file on line %line.', 'a:4:{s:6:\"%error\";s:12:\"user warning\";s:8:\"%message\";s:122:\"MySQL server has gone away\nquery: UPDATE variable SET value = 'i:1449885429;' WHERE name = 'cron_last'\";s:5:\"%file\";s:64:\"/home/agentili/public_html/radiologyindex/includes/bootstrap.inc\";s:5:\"%line\";i:612;}', 3, '', 'http://www.skeletalscintigraphy.com/content/chest', '', '151.80.31.154', 1449885429) in /home/agentili/public_html/radiologyindex/includes/database.mysqli.inc on line 134

Warning: MySQL server has gone away query: INSERT INTO watchdog (uid, type, message, variables, severity, link, location, referer, hostname, timestamp) VALUES (0, 'php', '%message in %file on line %line.', 'a:4:{s:6:\"%error\";s:12:\"user warning\";s:8:\"%message\";s:85:\"MySQL server has gone away\nquery: DELETE FROM cache WHERE cid = 'variables'\";s:5:\"%file\";s:60:\"/home/agentili/public_html/radiologyindex/includes/cache.inc\";s:5:\"%line\";i:182;}', 3, '', 'http://www.skeletalscintigraphy.com/content/chest', '', '151.80.31.154', 1449885429) in /home/agentili/public_html/radiologyindex/includes/database.mysqli.inc on line 134

Warning: MySQL server has gone away query: INSERT INTO watchdog (uid, type, message, variables, severity, link, location, referer, hostname, timestamp) VALUES (0, 'php', '%message in %file on line %line.', 'a:4:{s:6:\"%error\";s:12:\"user warning\";s:8:\"%message\";s:369:\"MySQL server has gone away\nquery: INSERT INTO watchdog\n (uid, type, message, variables, severity, link, location, referer, hostname, timestamp)\n VALUES\n (0, 'cron', 'Cron run completed.', 'a:0:{}', 5, '', 'http://www.skeletalscintigraphy.com/content/chest', '', '151.80.31.154', 1449885429)\";s:5:\"%file\";s:68:\"/home/agentili/public_html/radiologyindex/modules/dblog/dblog.module\";s:5:\"%line\";i:146;}', 3, '', 'http://www.skeletalscintigraphy.com/content/chest', '', ' in /home/agentili/public_html/radiologyindex/includes/database.mysqli.inc on line 134

Warning: MySQL server has gone away query: INSERT INTO watchdog (uid, type, message, variables, severity, link, location, referer, hostname, timestamp) VALUES (0, 'php', '%message in %file on line %line.', 'a:4:{s:6:\"%error\";s:12:\"user warning\";s:8:\"%message\";s:94:\"MySQL server has gone away\nquery: DELETE FROM variable WHERE name = 'cron_semaphore'\";s:5:\"%file\";s:64:\"/home/agentili/public_html/radiologyindex/includes/bootstrap.inc\";s:5:\"%line\";i:637;}', 3, '', 'http://www.skeletalscintigraphy.com/content/chest', '', '151.80.31.154', 1449885429) in /home/agentili/public_html/radiologyindex/includes/database.mysqli.inc on line 134

Warning: MySQL server has gone away query: INSERT INTO watchdog (uid, type, message, variables, severity, link, location, referer, hostname, timestamp) VALUES (0, 'php', '%message in %file on line %line.', 'a:4:{s:6:\"%error\";s:12:\"user warning\";s:8:\"%message\";s:85:\"MySQL server has gone away\nquery: DELETE FROM cache WHERE cid = 'variables'\";s:5:\"%file\";s:60:\"/home/agentili/public_html/radiologyindex/includes/cache.inc\";s:5:\"%line\";i:182;}', 3, '', 'http://www.skeletalscintigraphy.com/content/chest', '', '151.80.31.154', 1449885429) in /home/agentili/public_html/radiologyindex/includes/database.mysqli.inc on line 134

Warning: MySQL server has gone away query: INSERT INTO watchdog (uid, type, message, variables, severity, link, location, referer, hostname, timestamp) VALUES (0, 'php', '%message in %file on line %line.', 'a:4:{s:6:\"%error\";s:12:\"user warning\";s:8:\"%message\";s:388:\"MySQL server has gone away\nquery: INSERT INTO watchdog\n (uid, type, message, variables, severity, link, location, referer, hostname, timestamp)\n VALUES\n (0, 'cron', 'Cron run completed (via poormanscron).', 'a:0:{}', 5, '', 'http://www.skeletalscintigraphy.com/content/chest', '', '151.80.31.154', 1449885429)\";s:5:\"%file\";s:68:\"/home/agentili/public_html/radiologyindex/modules/dblog/dblog.module\";s:5:\"%line\";i:146;}', 3, '', 'http://www.skeletalscintigraphy.com/content/chest', in /home/agentili/public_html/radiologyindex/includes/database.mysqli.inc on line 134

Warning: MySQL server has gone away query: INSERT INTO watchdog (uid, type, message, variables, severity, link, location, referer, hostname, timestamp) VALUES (0, 'php', '%message in %file on line %line.', 'a:4:{s:6:\"%error\";s:12:\"user warning\";s:8:\"%message\";s:133:\"MySQL server has gone away\nquery: UPDATE variable SET value = 'i:1449885429;' WHERE name = 'poormanscron_lastrun'\";s:5:\"%file\";s:64:\"/home/agentili/public_html/radiologyindex/includes/bootstrap.inc\";s:5:\"%line\";i:612;}', 3, '', 'http://www.skeletalscintigraphy.com/content/chest', '', '151.80.31.154', 1449885429) in /home/agentili/public_html/radiologyindex/includes/database.mysqli.inc on line 134

Warning: MySQL server has gone away query: INSERT INTO watchdog (uid, type, message, variables, severity, link, location, referer, hostname, timestamp) VALUES (0, 'php', '%message in %file on line %line.', 'a:4:{s:6:\"%error\";s:12:\"user warning\";s:8:\"%message\";s:85:\"MySQL server has gone away\nquery: DELETE FROM cache WHERE cid = 'variables'\";s:5:\"%file\";s:60:\"/home/agentili/public_html/radiologyindex/includes/cache.inc\";s:5:\"%line\";i:182;}', 3, '', 'http://www.skeletalscintigraphy.com/content/chest', '', '151.80.31.154', 1449885429) in /home/agentili/public_html/radiologyindex/includes/database.mysqli.inc on line 134